Solitary fibrous tumor of the pleura: clinical case report

Article / Artículo

https://doi.org/10.33821/793




ABSTRACT

Introduction:

Solitary fibrous tumors (SFT) of the pleura are a rare neoplasm that originates from mesenchymal cells underlying the pleura. Its clinical course is usually indolent until it reaches large dimensions, producing symptoms due to compression. This clinical case provides valuable evidence on the effective diagnosis and management of this rare tumor. It also highlights the usefulness of molecular tools and oncological surveillance.

Methods:

We present a clinical case of a 53-year-old female patient diagnosed with SFT of the pleura, treated by surgical resection and followed up for 6 years.

Results:

The patient presented with cough and dyspnea. Chest computed tomography revealed a 23 cm left pleural mass. Histopathological study confirmed SFT with intermediate risk of recurrence. No recurrence was evident in subsequent follow-up.

Conclusions:

SFT of the pleura requires early diagnosis, complete surgical resection, and follow-up. Stratification of recurrence risk is essential for clinical management.

Keywords:

Solitary fibrous tumor of the pleura, Pleural neoplasm, Thoracic surgery



1. Introduction

Solitary fibrous tumors (SFT) are a rare neoplasm of mesenchymal origin, accounting for less than 2% of all soft tissue tumors, with an estimated annual incidence of one case per million people. It occurs predominantly in adults between the fifth and sixth decades of life, with no gender preference (1). The most common locations are deep somatic soft tissues and body cavities (especially the pleura and abdominal cavity) (2). The World Health Organization's Classification of Tumors of Soft Tissue and Bone, fifth edition (WHO, 2020), categorizes it within tumors of fibroblastic origin, avoiding the terms "typical" or "malignant," given that even cases with benign-appearing histology can progress. The risk of recurrence or metastasis has been reported to range from 5% to 10%, typically to the lungs, liver, and bone (2). The estimated 5- and 10-year overall survival rates are 89% and 73%, respectively, and the 5- and 10-year recurrence-free survival rates are 74% and 55%, highlighting the importance of long-term surveillance (2,3).

Through the presentation of a clinical case of a large pleural tumor, the application of histopathological and molecular criteria that confirm the diagnosis is addressed, and the inclusion of the mDemicco scale for metastasis risk stratification reinforces the importance of prolonged surveillance. In essence, this case provides evidence of the usefulness of these diagnostic and follow-up tools, which is of great value to the medical community, given the rarity of the disease.

2. Clinical case

A 53-year-old female patient presented with a history of hypothyroidism treated with levothyroxine 100 mcg daily and stage IA2 cervical cancer treated with radical hysterectomy in 2005. There was no known family history of cancer. Denied smoking or exposure to environmental toxins. She presented to the Pneumology Department in May 2019 with a nonproductive cough lasting more than three months and progressive dyspnea. Initial physical examination revealed a respiratory rate of 22 rpm, oxygen saturation of 95% on room air, hypoventilation in the left lung base on pulmonary auscultation, and dullness to percussion in the left basal region. Tumor marker results were as follows: CYFRA 21-1: 1.85 ng/ml; NSE: 19.51 ng/ml. Pulmonary function tests evidenced a moderate restrictive pattern with no response to bronchodilators. Contrast-enhanced chest CT scan showed a heterogeneous extrapulmonary mass measuring 12.8 x 15.3 cm with a broad base on the left parietal pleura and no adenomegaly (Figure 1).

Figure 1

Contrast-enhanced chest CT scan. Left extrapulmonary heterogeneous lesion with an obtuse angle, which measures 12.8 x 15.3 cm.

2661-6653-onco-35-03-33-gf1.png

A CT-guided percutaneous biopsy was performed, which showed the presence of spindle cells arranged in a storiform pattern. This histological pattern is classic in soft tissue pathology and points the differential diagnosis mainly toward tumors such as solitary fibrous tumor, dermatofibrosarcoma protuberans, and undifferentiated pleomorphic sarcoma. Immunohistochemical analysis showed positivity for BCL-2 and CD34 markers. These results, together with the clinical-imaging correlation, confirmed the diagnosis of solitary fibrous tumor. Consequently, the proposed therapeutic approach was surgical resection. A left thoracotomy was performed with complete resection of a 23 cm lobulated tumor originating in the parietal pleura without pulmonary or bone invasion.

The pathological report revealed spindle cells arranged in a storiform pattern with minimal nuclear atypia and moderate mitotic activity (5/10 fields), which is a common pattern in SFT, as well as positivity for CD34 and BCL2 immunophenotypes of SFT. Although the absence of the STAT6 marker is a limitation of the study, the combination of the other histological findings and positivity for these markers, in the context of a pleural tumor, is highly suggestive. It is important to note that dermatofibrosarcoma protuberans (DFSP) was ruled out because, in addition to being a neoplasm that usually originates in the dermis and subcutaneous tissue, it presents an infiltrative honeycomb pattern and low mitotic activity, characteristics that were not observed in this case. Furthermore, DFSP usually expresses CD34 but lacks the histological pattern characteristic of SFT ("star" or "made of rag" pattern, hemangiopericytoma-like branching vessels, and areas of hyalinized collagen), which allowed it to be excluded in correlation with the pleural location of the tumor.

Pleomorphic undifferentiated sarcoma (formerly known as malignant fibrous histiocytoma) was ruled out based on the immunohistochemistry result, as this type of sarcoma typically does not express CD34 or BCL2, whereas in the present case, both proteins were positive, a finding characteristic of solitary fibrous tumor. Additionally, pleomorphic sarcoma usually shows marked cellular pleomorphism, abundant atypia, and a high mitotic index; features that were absent in the patient's histological evaluation.

The pleural location, the exophytic size of 23 cm, and the resected block specimen without macroscopic infiltration favor a pleural SFT, consistent with the histological and immunohistochemical findings already described.

Figure 2

Macroscopic findings. Lobulated tumor measuring 22,9 X 15,6 X 9 cm.

2661-6653-onco-35-03-33-gf2.png

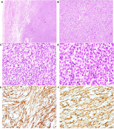
Figure 3

Histological findings. A. Highly fusocellular vascularized, solid neoplasm (H&E, 5x magnification). B. Cells distributed in short fascicles with a storiform pattern; no areas of necrosis were identified (H&E, 10x magnification). C. Vesicular nuclei with inconspicuous nucleoli and mild nuclear atypia (H&E, 20x magnification). D. Atypical mitoses, 5/10 fields at 40x (H&E, 60x magnification). E. CD34 positive. F. BCL2 positive.

2661-6653-onco-35-03-33-gf3.png

Risk stratification for recurrence using the mDemicco scale yielded a score of 5, classifying the patient as intermediate risk. Adjuvant treatment was not indicated given the negative surgical margins and intermediate risk stratification. The patient remains under clinical follow-up with serial chest CT scans. At six years post-operatively, the patient remained asymptomatic with stable respiratory function tests and no evidence of recurrence. The patient demonstrated good adherence to follow-up and no adverse events related to surgical treatment were observed.

3. Discussion

Pleural solitary fibrous tumors (SFT) are rare, usually slow-growing mesenchymal neoplasms that can reach large dimensions before producing clinical symptoms, which are generally compressive (4). The etiology remains unknown, and no association with environmental factors such as tobacco use or asbestos exposure has been demonstrated (3). Diagnosis requires imaging studies combined with histopathological and immunohistochemical analysis. Complete surgical resection with negative margins is the treatment of choice, and there is a better prognosis when complete tumor resection with clear surgical margins is achieved. However, some cases may have an unpredictable course; therefore, long-term follow-up is mandatory (5).

Classic histopathological findings include randomly arranged spindle-shaped to ovoid cells, with branching blood vessels, thin deer antler-shaped walls, and prominent stromal collagen, taking into account the mitotic count and the percentage of tumor necrosis (2). Nuclear expression of STAT6 has been shown to be highly specific for SFT, which is a direct consequence of the NAB2-STAT6 gene fusion and is detectable by immunohistochemistry. In retrospective studies evaluating localized disease, the fusion between exon 4 of NAB2 and exon 2 of STAT6 was the most frequent variant, which has been correlated with a thoracic location, older patient age, lower mitotic count, and better prognosis. On the other hand, the fusion between exon 6 of NAB2 and exon 16 of STAT6, identified as the second most common fusion, is associated with extrathoracic locations, young patients, and a worse prognosis (6).

In some studies, CD209 overexpression has shown a significant correlation with an unfavorable clinical prognosis (6). Additionally, evaluation of the Ki-67 proliferation index is useful for predicting prognosis (7). Other markers, although nonspecific, such as CD34, BCL-2, and CD99 expression, may also be present; however, CD34 may be negative in approximately 10%, while CD99 and BCL2 are often expressed in other neoplasms (8).

To predict the risk of recurrence, the mDemicco scale is used, based on four parameters such as age (>55 years: 1 point), tumor size (5-10 cm: 1 point, 10-15 cm: 2 points, and ≥ 15 cm: 3 points), mitotic index (1 to 3 mitoses per 10 fields: 1 point, and ≥ 4 mitoses per 10 fields: 2 points), and percentage of tumor necrosis (≥ 10%: 1 point). Based on this score, the risk is classified as low (0-3 points), intermediate (4-5 points), or high (6-7 points) (7,9). Complete surgical resection is the cornerstone of treatment for SFT. However, postoperative management should be tailored individually, considering surgical margins and risk stratification score. Although data are limited, neoadjuvant chemotherapy and radiotherapy may be considered in advanced cases. In cases of intermediate to high risk with positive margins and unresectable/inoperable tumors, adjuvant RT is a reasonable option (10). Likewise, the use of the tyrosine kinase inhibitor (TKI) pazopanib could be considered as first-line systemic treatment in these cases (6). Without a doubt, all treatment decisions should be made by a multidisciplinary team.

4. Conclusion

This report highlights that early diagnosis, complete resection, and a structured follow-up plan are crucial for achieving favorable clinical outcomes in solitary fibrous tumors of the pleura. Although the tumor was large, the postoperative course was uneventful, and long-term follow-up showed no evidence of recurrence. These findings underscore the key role of a multidisciplinary approach and close monitoring in the management of this entity.

6.2 Acknowledgments:

We would like to thank the staff at SOLCA Guayaquil for their support in caring for the patient and for facilitating access to the clinical information used in this report. We would also like to thank the patient for her trust and for authorizing the dissemination of her case for scientific purposes.

References:

1. Martin-Broto J, Mondaza-Hernandez JL, Moura DS, Hindi N. A comprehensive review on solitary fibrous tumor: New insights for new horizons. Vol. 13, Cancers. MDPI; 2021. https://doi.org/10.3390/cancers13122913.

J Martin-Broto JL Mondaza-Hernandez DS Moura N. Hindi A comprehensive review on solitary fibrous tumor: New insights for new horizons13Cancers2021https://doi.org/10.3390/cancers13122913

2. Kallen ME, Hornick JL. The 2020 WHO Classification: What's New in Soft Tissue Tumor Pathology? Am J Surg Pathol. 2021;45(1):e1-e23. https://doi.org/10.1097/PAS.0000000000001552

ME Kallen JL. Hornick The 2020 WHO Classification: What's New in Soft Tissue Tumor Pathology?Am J Surg Pathol2021451e1e23https://doi.org/10.1097/PAS.0000000000001552

3. Organización Mundial de la Salud, Grupo Editorial de la Clasificación de Tumores. Clasificación de los tumores de la OMS. Tumores de tejidos blandos y de hueso. 5ª ed. Vol. 3. Lyon: Agencia Internacional para la Investigación sobre el Cáncer (IARC); 2020. Disponible en: https://publications.iarc.who.int/608

rganización Mundial de la Salud Grupo Editorial de la Clasificación de Tumores Clasificación de los tumores de la OMSTumores de tejidos blandos y de hueso5ª3LyonAgencia Internacional para la Investigación sobre el Cáncer (IARC)2020https://publications.iarc.who.int/608

4. Thway K, Ng W, Noujaim J, Jones RL, Fisher C. The Current Status of Solitary Fibrous Tumor. Vol. 24, International Journal of Surgical Pathology. SAGE Publications Inc.; 2016. p. 281-92. https://doi.org/10.1177/1066896915627485

K Thway W Ng J Noujaim RL Jones C. Fisher The Current Status of Solitary Fibrous Tumor24International Journal of Surgical PathologySAGE Publications Inc2016281292https://doi.org/10.1177/1066896915627485

5. Fatimi S hasnain, Inam H, Chagan FK, Choudry UK. Solitary fibrous pleural tumor. A rare and challenging case. Int J Surg Case Rep. 2020;66:346-9. https://doi.org/10.1016/j.ijscr.2019.12.020

S hasnain Fatimi H Inam FK Chagan UK. Choudry Solitary fibrous pleural tumor. A rare and challenging caseInt J Surg Case Rep202066346349https://doi.org/10.1016/j.ijscr.2019.12.020

6. Almeida Costa N, Fonseca D, Santos J. Extra-pleural solitary fibrous tumors: A review. Egypt J Radiol Nucl Med. 2019;50:42. https://doi.org/10.1186/s43055-019-0040-9.

N Almeida Costa D Fonseca J. Santos Extra-pleural solitary fibrous tumors: A reviewEgypt J Radiol Nucl Med2019504242https://doi.org/10.1186/s43055-019-0040-9

7. Martin-Broto J, Cruz J, Penel N, Le Cesne A, Hindi N, Luna P, et al. Pazopanib for treatment of typical solitary fibrous tumours: A multicentre, single-arm, phase 2 trial. Lancet Oncol. 2020;21(3):456-66. https://doi.org/10.1016/S1470-2045(19)30826-5

J Martin-Broto J Cruz N Penel A Le Cesne N Hindi P Luna Pazopanib for treatment of typical solitary fibrous tumours: A multicentre, single-arm, phase 2 trialLancet Oncol2020213456466https://doi.org/10.1016/S1470-2045(19)30826-5

8. Demicco EG, Wagner MJ, Maki RG, Gupta V, Iofin I, Lazar AJ, et al. Risk assessment in solitary fibrous tumors: Validation and refinement of a risk stratification model. Modern Pathology. 2017;30(10):1433-42. https://doi.org/10.1038/modpathol.2017.54

EG Demicco MJ Wagner RG Maki V Gupta I Iofin AJ Lazar Risk assessment in solitary fibrous tumors: Validation and refinement of a risk stratification modelModern Pathology2017301014331442https://doi.org/10.1038/modpathol.2017.54

9. Xiao Y, Chen J, Yang W, Yan H, Chen R, Li Y. Solitary fibrous tumors: radiologic features with clinical and histopathologic correlation. Front Oncol. 2025;15:1510059. https://doi.org/10.3389/fonc.2025.1510059.

Y Xiao J Chen W Yang H Yan R Chen Y. Li Solitary fibrous tumors: radiologic features with clinical and histopathologic correlationFront Oncol20251515100591510059https://doi.org/10.3389/fonc.2025.1510059

10. Georgiesh T, Boye K, Bjerkehagen B. A novel risk score to predict early and late recurrence in solitary fibrous tumour. Histopathology. 2020;77(1):123-32. https://doi.org/10.1111/his.14078.

T Georgiesh K Boye B. Bjerkehagen A novel risk score to predict early and late recurrence in solitary fibrous tumourHistopathology2020771123132https://doi.org/10.1111/his.14078

11. de Bernardi A, Dufresne A, Mishellany F, Blay JY, Ray-Coquard I, Brahmi M. Novel therapeutic options for solitary fibrous tumor: Antiangiogenic therapy and beyond. Vol. 14, Cancers. MDPI; 2022. https://doi.org/10.3390/cancers14041064

A de Bernardi A Dufresne F Mishellany JY Blay I Ray-Coquard M. Brahmi Novel therapeutic options for solitary fibrous tumor: Antiangiogenic therapy and beyond14Cancers2022https://doi.org/10.3390/cancers14041064

How to cite: Encalada Valdivieso I, Rivera Rivera T, Salazar Reinoso F, Ross Rodiguez E. Solitary fibrous tumor of the pleura: clinical case report. Oncologia (Ecuador). 2024;35(3): 33-39. https://doi.org/10.33821/793

5. Abbreviations: BCL-2: B-cell lymphoma 2 CD34: Cluster of differentiation 34 CYFRA: Cytokeratin fragments 19 DFSP: Dermatofibrosarcoma protuberans IA2: Islet Antigen-2 NAB2: Gen NGFI-A Binding Protein 2 NGFI-A Binding Protein 2 NSE: Neuronal-Specific Enolase STAT6: Signal transducer and activator of transcription 6. SFT: Solitary fibrous tumor TKI: Tyrosine kinase inhibitor

6. Administrative information:

6.1 Additional files: None

6.4 Funding: This study did not receive funding from any external source.

6.6 Consent for publication The patient gave her informed consent for the publication of her clinical case and the use of her information for scientific and academic purposes.


Tumor fibroso solitario de la pleura: presentación de un caso clínico

0009-0008-4757-0584ValdiviesoIliana Encalada

M.D

¹0000-0003-1201-8411Rivera RiveraTannia

M.D

²0000-0001-5820-7600Salazar ReinosoFernando

M.D

³0000-0002-4131-399XRodriguezEdwin Ross

M.D


RESUMEN

Introducción:

El tumor fibroso solitario pleural es una neoplasia rara que se origina de células mesenquimatosas subyacentes a la pleura. Su curso clínico suele ser indolente hasta alcanzar grandes dimensiones, y genera síntomas por compresión. El presente caso clínico aporta evidencia valiosa sobre el diagnóstico y manejo efectivo de este tumor raro. Además, resalta la utilidad de herramientas moleculares y la vigilancia oncológica.

Metodología:

Se presenta un caso clínico de una paciente femenina de 53 años con diagnóstico de tumor fibroso solitario pleural, tratada mediante resección quirúrgica y con seguimiento durante seis años.

Resultados:

La paciente presentó tos y disnea. La tomografía computarizada de tórax reveló una masa pleural izquierda de 23 cm. El estudio histopatológico confirmó un tumor fibroso solitario con riesgo intermedio de recurrencia. No se evidenció recidiva en controles posteriores.

Conclusiones:

El tumor fibroso solitario de pleura requiere diagnóstico temprano, resección quirúrgica completa y seguimiento. La estratificación del riesgo de recurrencia es esencial para el manejo clínico.



1. Introducción

El tumor fibroso solitario (TFS) es una neoplasia poco frecuente de origen mesenquimatoso, que representa menos del 2 % de todos los tumores de tejidos blandos, con una incidencia anual estimada de un caso por millón de personas. Se presenta predominantemente en adultos entre la quinta y la sexta década de la vida, sin preferencia de género [1]. Las localizaciones más frecuentes son los tejidos blandos somáticos profundos y las cavidades corporales, sobre todo la pleura y la cavidad abdominal [2]. La Clasificación de Tumores de Tejidos Blandos y Huesos de la Organización Mundial de la Salud quinta edición [3] lo categoriza dentro de los tumores de origen fibroblástico y evita los términos típico o maligno, dado que incluso los casos con histología de apariencia benigna pueden progresar. Se ha reportado que el riesgo de recidiva o metástasis oscila entre el 5 y el 10 %, típicamente a pulmones, hígado y hueso [2]. Se estima que las tasas de supervivencia global a 5 y 10 años son del 89 y del 73 %, respectivamente, y la supervivencia libre de recurrencia a 5 y 10 años es del 74 y el 55 %, lo que resalta la importancia de una vigilancia a largo plazo [2,4].

A través de la presentación de un caso clínico de un tumor pleural de gran tamaño, se aborda la aplicación de criterios histopatológicos y moleculares que confirman el diagnóstico. La inclusión de la escala mDemicco para la estratificación del riesgo de metástasis refuerza la importancia de la vigilancia prolongada. En esencia, este caso aporta evidencia sobre la utilidad de estas herramientas de diagnóstico y seguimiento, lo que es de gran valor para la comunidad médica, dada la rareza de la enfermedad.

2. Caso clínico

Paciente femenina de 53 años con antecedentes de hipotiroidismo en tratamiento con levotiroxina 100 mcg/día y cáncer de cuello uterino estadio IA2 tratado mediante histerectomía radical en el 2005. Sin antecedentes familiares oncológicos conocidos. Niega hábito tabáquico o exposición a tóxicos ambientales. Consulta al departamento de Neumología en mayo del 2019 por tos no productiva de más de tres meses de evolución y disnea progresiva. En el examen físico inicial presentó frecuencia respiratoria de 22 rpm, saturación de oxígeno 95 % a aire ambiente; en la auscultación pulmonar, hipoventilación en base pulmonar izquierda y percusión mate en región basal izquierda. Resultados de marcadores tumorales: Fragmentos de citoqueratina 19 (CYFRA 21-1): 1,85 ng/ml; Enolasa Neuronal Específica (NSE): 19,51 ng/ml. Las pruebas de función pulmonar reportaron patrón restrictivo moderado sin respuesta a broncodilatador. La tomografía torácica con contraste reportó una masa extrapulmonar heterogénea, de 12,8 × 15,3 cm, con base amplia en pleura parietal izquierda, no adenomegalias (Figura 1).

Figura 1

Tomografía contrastada de tórax. Lesión heterogénea extrapulmonar izquierda de ángulo obtuso que mide 12,8 × 15,3 cm.

2661-6653-onco-35-03-33-gf4.png

Se practicó una biopsia percutánea guiada por tomografía que reportó la presencia de células fusiformes dispuestas en un patrón estoriforme. Este patrón histológico es clásico en la patología de tejidos blandos y orienta el diagnóstico diferencial principalmente hacia tumores como el fibroso solitario, el dermatofibrosarcoma protuberans (DFSP) y el sarcoma pleomórfico indiferenciado. El análisis de inmunohistoquímica demostró positividad para los marcadores BCL-2 y CD34. Estos resultados, en conjunto con la correlación clínico-imagenológica, consolidaron el diagnóstico de tumor fibroso solitario. En consecuencia, el abordaje terapéutico propuesto fue la resección quirúrgica. Se realizó una toracotomía izquierda con resección completa de tumor lobulado de 23 cm, originado en la pleura parietal costal sin invasión pulmonar ni ósea. El informe anatomopatológico reportó la presencia de células fusiformes en un patrón estoriforme con escasa atipia nuclear y actividad mitótica moderada (5/10 campos), un patrón común en el TFS, además de la positividad para CD34 y BCL2, inmunofenotipos del TFS. Aunque la ausencia del marcador STAT6 es una limitación del estudio, la combinación del resto de los hallazgos histológicos y la positividad para estos marcadores, en un contexto de un tumor pleural, es altamente sugestivo. Es importante señalar que se descartó el DFSP debido a que, además de ser una neoplasia que habitualmente se origina en la dermis y el tejido subcutáneo, presenta un patrón infiltrativo en panal de abeja y escasa actividad mitótica, características que no se observaron en este caso. Asimismo, el DFSP suele expresar CD34, pero carece del patrón histológico característico del TFS (patrón en “estrellas” o “hecho de trapo”, vasos ramificados tipo hemangiopericitoma y áreas de colágeno hialinizado), lo cual permitió excluirlo en correlación con la localización pleural del tumor.

Por otra parte, el sarcoma pleomórfico indiferenciado, antes denominado histiocitoma fibroso maligno, fue descartado con el resultado de la inmunohistoquímica, ya que este tipo de sarcoma típicamente no expresa CD34 ni BCL2, mientras que en el presente caso ambas proteínas fueron positivas, hallazgo característico del TFS. Adicionalmente, el sarcoma pleomórfico suele mostrar marcado pleomorfismo celular, abundante atipia y alto índice mitótico, rasgos ausentes en la evaluación histológica del paciente.

La localización pleural, el tamaño exofítico de 23 cm y la pieza resecada en bloque sin infiltración macroscópica favorecen un TFS pleural, en coherencia con los hallazgos histológicos e inmunohistoquímicos ya descritos.

Figura 2

Hallazgos macroscópicos. Tumoración lobulada de 22,9 × 15,6 × 9 cm.

2661-6653-onco-35-03-33-gf5.png

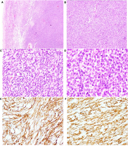
Figura 3

Hallazgos histológicos. A. Neoplasia altamente fusocelular vascularizada, sólida (H-E, aumento 5x). B. Células distribuidas en fascículos cortos y con patrón estoriforme, no se identificaron áreas de necrosis (H-E, aumento 10x). C. Núcleos vesiculosos con nucleolo inconspicuo y atipia nuclear leve (H-E, aumento 20x). D. Mitosis atípicas, 5/10 campos de 40 x (H-E, aumento 60x). E. CD34 positivo. F. BCL2 positivo.

2661-6653-onco-35-03-33-gf6.png

La estratificación de riesgo de recurrencia con la escala mDemicco resultó en un puntaje de 5; la paciente fue clasificada en la categoría de riesgo intermedio. No se indicó tratamiento adyuvante debido a márgenes negativos y estratificación de riesgo intermedio. La paciente se mantiene en seguimiento clínico y es evaluada con tomografías de tórax seriadas. Han transcurrido seis años desde la cirugía y permanece asintomática, con pruebas de función respiratoria estables y sin evidencia de recidiva. Se confirmó buena adherencia al seguimiento y ausencia de eventos adversos relacionados con el tratamiento quirúrgico.

3. Discusión

El TFS pleural es una neoplasia mesenquimatosa infrecuente, generalmente de crecimiento lento, que puede alcanzar grandes dimensiones antes de producir síntomas clínicos, generalmente compresivos [5]. La etiología es desconocida, no se ha demostrado asociación con factores ambientales como consumo de tabaco o exposición al asbesto ​[4]. El diagnóstico requiere estudios imagenológicos, hallazgos histopatológicos e inmunohistoquímicos. La resección quirúrgica completa con márgenes negativos es el tratamiento de elección, pues muestra un mejor pronóstico cuando se consigue una resección tumoral completa con márgenes quirúrgicos libres, a pesar de ello algunos pueden tener un curso impredecible, por lo que el seguimiento a largo plazo es obligatorio [6].

Los hallazgos histopatológicos clásicos son la presencia de células fusiformes a ovoides dispuestas al azar, con vasos sanguíneos ramificados, de paredes delgadas en forma de cuerno de ciervo y colágeno estromal prominente, tomando en cuenta el recuento mitótico y el porcentaje de necrosis tumoral [2]. Se ha demostrado que la expresión nuclear de STAT6 es altamente específica para el TFS, la cual es consecuencia directa de la fusión génica NAB2-STAT6 y es detectable mediante inmunohistoquímica. En estudios retrospectivos que evaluaron la enfermedad localizada, la fusión entre el exón 4 de NAB2 y el exón 2 de STAT6 fue la variante más frecuente, la cual se ha correlacionado con una localización torácica, mayor edad del paciente, un menor recuento mitótico y un mejor pronóstico. Por otro lado, la fusión entre el exón 6 de NAB2 y el exón 16 de STAT6, identificada como la segunda fusión más común, se ha asociado con localizaciones extratorácicas, pacientes jóvenes y un peor pronóstico [7].

En algunos estudios, la sobreexpresión de CD209 ha mostrado una correlación significativa con un pronóstico clínico desfavorable [7]. Adicionalmente, la evaluación del índice de proliferación Ki-67 es útil para predecir el pronóstico [8]. Otros marcadores, aunque inespecíficos, como la expresión de CD34, BCL-2 y CD99, también pueden estar presentes; sin embargo, CD34 puede ser negativo en aproximadamente el 10 %, mientras que CD99 y BCL2 suelen expresarse en otras neoplasias [9].

Para predecir el riesgo de recurrencia, se emplea la escala mDemicco, basada en cuatro parámetros: edad (> 55 años: 1 punto); tamaño tumoral (5-10cm: 1 punto, 10-15cm: 2 puntos y ≥ 15cm: 3 puntos); índice mitótico (1 a 3 mitosis por 10 campos: 1 punto y ≥ 4 mitosis por 10 campos: 2 puntos); y porcentaje de necrosis tumoral (≥10 %: 1 punto). Según esta puntuación, el riesgo se clasifica como bajo (0-3 puntos), intermedio (4-5 puntos) o alto (6-7 puntos) [9,10]. La resección quirúrgica completa es el pilar fundamental en el tratamiento del tumor fibroso solitario. Sin embargo, el manejo posoperatorio debe adaptarse individualmente, considerando los márgenes quirúrgicos y la puntuación de estratificación de riesgo. Aunque existen datos limitados, en casos avanzados se puede considerar el uso de quimioterapia y radioterapia neoadyuvante. En el caso de riesgo intermedio a alto con márgenes positivos e irresecable/inoperable, la RT adyuvante es una opción razonable [11]. Asimismo, el uso de un inhibidor de la tirosina quinasa (TKI) pazopanib podría considerarse como tratamiento sistémico de primera línea en estos casos [7]. Sin duda, toda decisión de tratamiento debe ser tomada por un equipo multidisciplinario.

4. Conclusión

El presente reporte pone de manifiesto que el diagnóstico temprano, la resección completa y un plan de seguimiento estructurado son determinantes para lograr resultados clínicos favorables en los TFS de la pleura. Aunque el tumor presentó un tamaño considerable, la evolución posoperatoria transcurrió sin complicaciones y el control a largo plazo no evidenció recurrencia. Estos hallazgos subrayan el papel clave del abordaje multidisciplinario y la monitorización estrecha en el manejo de esta entidad.