Migration of an Implanted Venous Catheter Fragment as an Unexpected Cause of Cough: A Case Report

Article / Artículo

https://doi.org/10.33821/772


 

ABSTRACT

Introduction:

Oncology patients use implantable central venous catheters for long-term venous access. Although generally safe, they may present mechanical complications such as fracture and migration, which can lead to atypical symptoms like chronic cough.

Case report:

We describe a patient with stage IIA infiltrating ductal carcinoma of the breast, Luminal B subtype, who first received neoadjuvant chemotherapy with doxorubicin and cyclophosphamide and then weekly paclitaxel before having a radical mastectomy. She later underwent a radical mastectomy. The central venous catheter, placed for treatment, fractured and migrated with an 11 cm fragment lodged in the right ventricle and atrium. The patient presented with chronic cough as the only symptom. The patient did not receive anticoagulation or undergo prior echocardiography. A right heart catheterization was carried out under neuroleptic sedation and local anaesthesia, successfully retrieving the fragment using a multi-snare loop catheter.

Conclusion:

Fracture and migration of central venous catheters are rare but potentially serious complications that should be considered in patients with nonspecific symptoms such as cough. Retrieval via cardiac catheterization is an effective and safe treatment.

Keywords:

Cough, central venous catheter, catheter fracture, high-resolution computed tomography



1. Introduction

Totally implantable central venous catheters are widely used in patients requiring long-term venous access, particularly in oncology. These devices consist of a titanium reservoir with a silicone septum and a radiopaque polyurethane catheter with a heparin coating. They offer advantages in terms of safety and comfort but may be associated with complications such as infection, thrombosis, and catheter fracture, the latter being a rare but potentially serious event [1].

In Latin America, data on implantable catheter fractures are limited. In Argentina, Norese et al. reported a fracture and embolization rate of 0.86% in a series of 3,953 cases. No specific data are available for Ecuador, highlighting the importance of documenting such cases [2].

Cough is a common symptom in medical practice with multiple etiologies, ranging from respiratory diseases to gastroesophageal reflux and adverse drug effects [3]. Occasionally, a less recognized but clinically relevant cause is the presence of foreign bodies in the vascular system, such as fractured catheter fragments, which can trigger nonspecific respiratory symptoms [4].

Incidental detection of these fragments through imaging studies, particularly high-resolution computed tomography (HRCT), has been described in the literature as an unexpected finding that requires thorough evaluation and timely intervention to prevent serious complications [2].

The exact pathophysiological mechanism by which catheter fracture causes chronic cough is not fully understood. It has been postulated that migration of catheter fragments to the pulmonary circulation may result in microemboli or local inflammatory reactions that stimulate cough receptors [5].

Pinch-off syndrome, a well-documented cause of implantable catheter fracture, has been identified as a predisposing factor in multiple clinical cases. Management includes early identification via imaging, correction of insertion technique to avoid compression between the first rib and clavicle, and in advanced cases, removal of the affected catheter to prevent serious complications such as fragment migration and pulmonary embolism [6].

This report presents the case of a patient with chronic cough in whom a fractured implantable venous catheter was incidentally identified by CT. This finding underscores the importance of considering unusual causes in the evaluation of persistent symptoms and the need for detailed imaging in cases with no evident etiology.

The objective of this article is to present a clinical case of chronic cough secondary to migration of a fractured implantable central venous catheter fragment, emphasizing the importance of a comprehensive clinical evaluation and imaging studies such as CT for timely diagnosis.

2. Case Report

A 64-year-old female patient, with no personal or family medical history or harmful habits, ECOG performance status 0, was diagnosed with invasive ductal carcinoma of the right breast, stage IIA (T1N0M0), grade II, Luminal B subtype. She received neoadjuvant chemotherapy with doxorubicin and cyclophosphamide (4 cycles), followed by weekly paclitaxel (12 doses). Treatment was completed in January 2024. A right radical mastectomy was performed in February 2024.

On physical examination, vital signs were within normal limits. At the site of the left subclavian implantable venous catheter, no signs of infection were observed. Cardiopulmonary auscultation was normal and painless. The patient reported having had a persistent cough for approximately one month prior to the identification of the catheter fracture. The catheter, inserted on August 25, 2023, had been used exclusively during chemotherapy and maintained adequate patency throughout.

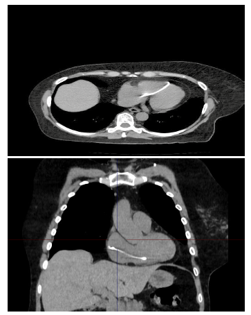
During routine follow-up, a thoracic CT was requested in January 2025 (Figure 1), which revealed a fracture at the upper portion and displacement of the catheter, with an approximately 11 cm fragment lodged in the right atrium and ventricle. This was an incidental finding. The scan also showed scattered micronodules and fibrotic changes in the lung parenchyma.

Figure 1

High-resolution chest CT scans showing the reservoir catheter in the right atrium and ventricle. A) Transverse view; B) Sagittal view.

2661-6653-onco-35-02-6-gf1.png

Source: SOLCA Hospital-Guayaquil.

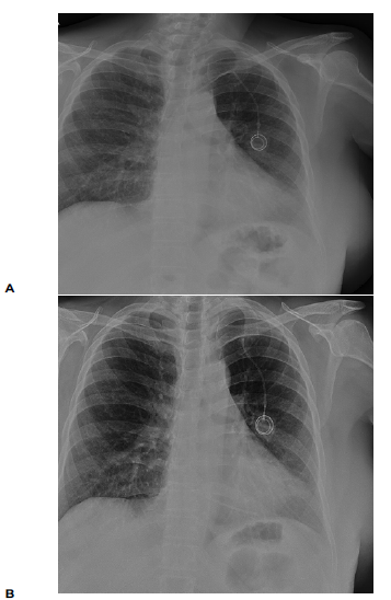
A comparison with a previous chest X-ray from 2024 confirmed a rupture of the subclavian port catheter (Figure 2).

Figure 2

Standard chest X-ray comparison. A) Reservoir catheter in the normal position along the internal jugular vein trajectory; B) The proximal end of the reservoir catheter is located in the right atrium and ventricle.

2661-6653-onco-35-02-6-gf2.png

Source: SOLCA Hospital-Guayaquil.

About one month after the finding, in December 2024, catheter removal was scheduled for January 16, 2025. Right heart catheterization was performed under neuroleptic sedation and local anesthesia, guided by fluoroscopy with contrast (Figure 3).

Figure 3

Contrast-enhanced X-ray during reservoir catheter extraction by hemodynamics.

2661-6653-onco-35-02-6-gf3.png

Source: SOLCA Hospital-Guayaquil.

Access was obtained via the right femoral vein using ultrasound guidance. A Multi-Snare® loop catheter was used to successfully extract the fragment. The procedure was well tolerated, and the patient recovered without immediate complications.

A follow-up echocardiogram on February 14, 2025, showed no structural damage or significant findings. Left ventricular ejection fraction was 65%, with a longitudinal strain of -18% and no thrombi. The patient is currently asymptomatic, with no cough or complications, and continues oncology follow-up with letrozole 2.5 mg/day.

3. Discussion

Totally implantable central venous catheters are commonly used in oncology patients requiring long-term venous access. Despite their safety and convenience, mechanical complications such as catheter fracture and migration can occur. Although infrequent, these complications can have serious consequences including fragment embolization and the onset of chronic cough. In the absence of an apparent cause, such symptoms warrant consideration of less obvious etiologies that may be overlooked in initial evaluations [7,8].

Intravascular migration of implanted medical device fragments, while rare, represents a plausible mechanism [9]. These foreign bodies can cause mechanical irritation of vascular or cardiac structures and may trigger local inflammatory responses capable of sensitizing cough reflex receptors [10]. This highlights the need for thorough clinical and imaging evaluation in patients with a history of prolonged venous catheterization, especially when presenting with persistent atypical respiratory symptoms [9,10].

In our patient, the left subclavian catheter fracture and migration of the fragment into the right atrium and ventricle were incidental findings on thoracic CT performed as part of oncology follow-up. Notably, the patient presented with chronic cough as the only symptom, with no clinical or laboratory evidence suggesting a primary pulmonary cause. This supports the hypothesis that the fragment's contact with cardiac structures may have triggered the cough reflex, as proposed in other clinical reports involving intracardiac catheter migration [11].

Ribeiro et al. [12] described a series of cases in which central venous catheter fragments were incidentally identified through imaging. All were successfully retrieved via percutaneous approach without complications. Although the patients did not exhibit respiratory symptoms, the findings support the efficacy of minimally invasive treatment and highlight the importance of timely diagnosis.

Other reports have described catheter fragments migrating into cardiac chambers or pulmonary vessels being associated with respiratory symptoms, even in the absence of other clinical findings, as noted by Nayeemuddin et al. [13]. They also described successful management of vascular foreign bodies using percutaneous techniques and emphasized the importance of prompt diagnosis. Such studies, like this case, support the need to consider this etiology in patients with implanted devices and unexplained persistent symptoms.

Regarding treatment, percutaneous extraction via cardiac catheterization is an effective and safe option. In this case, the procedure was successful and complication-free, reaffirming previous findings regarding the efficacy of minimally invasive management in such cases [14].

This case underscores the importance of maintaining a high index of suspicion for common symptoms such as cough in patients with indwelling catheters and the need for advanced imaging studies for timely evaluation. Documenting and disseminating such cases contributes to expanding clinical knowledge and improving the management of rare but relevant complications.

4. Conclusion

Fracture and migration of totally implantable central venous catheters is a rare but potentially serious complication that may manifest with nonspecific symptoms such as chronic cough. This clinical case highlights the importance of considering this etiology in patients with implanted devices and unexplained persistent symptoms.

The incidental CT finding, along with successful resolution via cardiac catheterization, reinforces the need for comprehensive clinical evaluation and imaging studies in the diagnostic approach.

Despite the limited literature on this topic, this case aligns with other reports documenting catheter fragment migration as a cause of respiratory symptoms, thus adding further evidence on its presentation and management. Documenting such events helps broaden clinical awareness and supports more precise diagnostic suspicion.

6.2 Acknowledgements

To the staff at SOLCA Guayaquil for providing the relevant clinical information.

References

1. Biffi R, de Braud F, Orsi F, Pozzi S, Mauri S, Goldhirsch A, et al. Totally implantable central venous Access ports for long-term chemotherapy: a prospective study analyzing complications and costs of 333 devices with a minimum follow-up of 180 days. Ann Oncol. 1998;9(7):767-73. https://doi.org/10.1023/a:1008392423469

R Biffi F de Braud F Orsi S Pozzi S Mauri A Goldhirsch Totally implantable central venous Access ports for long-term chemotherapy: a prospective study analyzing complications and costs of 333 devices with a minimum follow-up of 180 daysAnn Oncol199897767773https://doi.org/10.1023/a:1008392423469

2. Norese MF, Andersen G, Sinagra D. Fractura de catéter implantable con reservorio por síndrome de pinchoff. Rev Argent Cir. 2021;113(2):258-262. https://doi.org/10.25132/raac.v113.n2.1539.ei

MF Norese G Andersen D Sinagra Fractura de catéter implantable con reservorio por síndrome de pinchoffRev Argent Cir20211132258262https://doi.org/10.25132/raac.v113.n2.1539.ei

3. Irwin RS, Madison JM. The diagnosis and treatment of cough. N Engl J Med. 2000;342(10):736-44. https://doi.org/10.1056/nejm200012073432308

RS Irwin JM Madison The diagnosis and treatment of coughN Engl J Med200034210736744https://doi.org/10.1056/nejm200012073432308

4. Noyen J, Hoorntje J, de Langen Z, Leemslag JW, Sleijfer D. Spontaneous fracture of the catheter of a totally implantable venous access port: case report of a rare complication. J Clin Oncol. 1987;5(8):1295-1299. https://doi.org/10.1200/JCO.1987.5.8.1295

J Noyen J Hoorntje Z de Langen JW Leemslag D Sleijfer Spontaneous fracture of the catheter of a totally implantable venous access port: case report of a rare complicationJ Clin Oncol19875812951299https://doi.org/10.1200/JCO.1987.5.8.1295

5. Morice AH, Millqvist E, Bieksiene K, Birring SS, Dicpinigaitis PV, Domingo Ribas C, et al. ERS guidelines on the diagnosis and treatment of chronic cough in adults and children. Eur Respir J. 2020;55(1):1901136. https://doi.org/10.1183/13993003.01136-2019

AH Morice E Millqvist K Bieksiene SS Birring PV Dicpinigaitis C Domingo Ribas ERS guidelines on the diagnosis and treatment of chronic cough in adults and childrenEur Respir J202055119011361901136https://doi.org/10.1183/13993003.01136-2019

6. Kurul S, Saip P, Aydin T. Totally implantable venous-access ports: local problems and extravasation injury. Lancet Oncol. 2002;3(11):684-692. https://doi.org/10.1016/s1470-2045(02)00905-1

S Kurul P Saip T Aydin Totally implantable venous-access ports: local problems and extravasation injuryLancet Oncol2002311684692https://doi.org/10.1016/s1470-2045(02)00905-1

7. Kock HJ, Krause U, Pietsch M, Wilke H, Eigler FW. Implantable vascular access systems: experience in 1500 patients with totally implanted central venous port systems. World J Surg. 1998;22(1):12-16. https://doi.org/10.1007/s002689900342

HJ Kock U Krause M Pietsch H Wilke FW Eigler Implantable vascular access systems: experience in 1500 patients with totally implanted central venous port systemsWorld J Surg19982211216https://doi.org/10.1007/s002689900342

8. Lauder TD, Baker DG. Central venous catheter-related complications: a review. Crit Care Med. 2002;30(1):119-126. https://doi.org/10.1097/00003246-200201000-00020

TD Lauder DG Baker Central venous catheter-related complications: a reviewCrit Care Med2002301119126https://doi.org/10.1097/00003246-200201000-00020

9. Klotz HP, Schöpke W, Kohler A, Pestalozzi B, Largiadèr F. Catheter fracture: a rare complication of totally implantable subclavian venous access devices. J Surg Oncol. 1996;62(3):222-225. https://doi.org/10.1002/(SICI)1096-9098(199607)62:3<222::AID-JSO14>3.0.CO;2-8

HP Klotz W Schöpke A Kohler B Pestalozzi F Largiadèr Catheter fracture: a rare complication of totally implantable subclavian venous access devicesJ Surg Oncol1996623222225https://doi.org/10.1002/(SICI)1096-9098(199607)62:3<222::AID-JSO14>3.0.CO;2-8

10. García MA, López J. Chronic cough in adults: a review of causes and management. Eur J Intern Med. 2020;75:15-21. https://doi.org/10.1016/j.ejim.2020.03.018

MA García J López Chronic cough in adults: a review of causes and managementEur J Intern Med2020751521https://doi.org/10.1016/j.ejim.2020.03.018

11. Hamad M, Rajan R, Kosai N, Sutton P, Das S, Harunarashid H. Retained Fractured Fragment of A Central Venous Catheter: A Minimally Invasive Approach to Safe Retrieval. Ethiop J Health Sci. 2016;26(1):85-88. https://doi.org/10.4314/ejhs.v26i1.14

M Hamad R Rajan N Kosai P Sutton S Das H Harunarashid Retained Fractured Fragment of A Central Venous Catheter: A Minimally Invasive Approach to Safe RetrievalEthiop J Health Sci20162618588https://doi.org/10.4314/ejhs.v26i1.14

12. Ribeiro FS, Kumakura H, da Silva ES, PuechLeão P, De Luccia N. Removal of intravascular foreign bodies with a simple lowcost method: a report of five cases. J Endovasc Ther. 2021;28(3):474-480. https://doi.org/10.1177/15266028211007470

FS Ribeiro H Kumakura ES da Silva P PuechLeão N De Luccia Removal of intravascular foreign bodies with a simple lowcost method: a report of five casesJ Endovasc Ther2021283474480https://doi.org/10.1177/15266028211007470

13. Nayeemuddin M, Pherwani AD, Asquith JR. Imaging and management of complications of central venous catheters. Clin Radiol. 2013;68(5):529-544. https://doi.org/10.1016/j.crad.2012.10.013

M Nayeemuddin AD Pherwani JR Asquith Imaging and management of complications of central venous cathetersClin Radiol2013685529544https://doi.org/10.1016/j.crad.2012.10.013

14. Li Y, Chen J, Li Z, et al. Successful percutaneous transvenous retrieval of intravascular fractured port catheter: a single-center experience. J Cardiothorac Surg. 2020;15:101. https://doi.org/10.1186/s13019-020-01131-0

Y Li J Chen Z Li Successful percutaneous transvenous retrieval of intravascular fractured port catheter: a single-center experienceJ Cardiothorac Surg202015101101https://doi.org/10.1186/s13019-020-01131-0

How to cite: Encalada Collahuazo WA. Migration of an Implanted Venous Catheter Fragment as an Unexpected Cause of Cough: A Case Report. Oncología (Ecuador). 2025;35(2): 6-12. https://doi.org/10.33821/772

5. Abbreviations

ECOG: Eastern Cooperative Oncology Group.

CT: Computed tomography.

6. Administrative Information

6.1 Additionalfiles None.

6.3 Author Contributions Walter Alexis Encalada Collahuazo: conceptualization, original draft writing, investigation, review and editing of the manuscript, and final approval of the manuscript.

6.4 Funding None.

6.5 Availability of Data and Materials Data are available upon request to the corresponding author. No additional materials were reported.

7. Declarations

7.1 Consent for publication The patient provided written informed consent for the publication of this case report.