Sarcoma of interdigitating dendritic cells. Case report

Article / Artículo

https://doi.org/10.33821/755




ABSTRACT

Dendritic cells, essential in the immune response by presenting antigens to T and B lymphocytes, can develop extremely rare neoplasms, representing less than 1% of lymph node-originating tumors. We present a case of interdigitating dendritic cell sarcoma that, treated with chemotherapy, showed favorable progression and a good prognosis. Due to the rarity of this disease, it is crucial to consider it in differential diagnoses, as patient survival depends on the stage at which it is detected

Keywords:

Case report, Immunohistochemistry, Dendritic cells, PET CT (F18-FDG)



1. Introduction

Interdigitating dendritic cell sarcoma (IDCS) is a rare hematologic neoplasm with a complex diagnosis, often confused with other types of neoplasms, which leads to delayed diagnosis and an unfavorable prognosis for the patient. Here, we present a case of a 68-year-old female patient, initially suspected of having colon cancer. However, through histopathological studies, it was determined that she had a lymphoid neoplasm compatible with the disease described in this case report. This article details the diagnostic process, oncological management, treatment response, and current status, as well as a brief review of the topic to help readers understand the medical decisions made.

2. Case Report

A 68-year-old female patient with a history of hypertension, a colon tumor under investigation, and current pharmacological treatment with losartan. She also has a history of traumatic elbow fracture managed with a prosthesis and is a former smoker. She showed up at the emergency department with a two-month history of progressive abdominal pain associated with asthenia, adynamia, and pallor. Upon physical examination at admission, the abdomen showed no distension, positive peristalsis; it was soft, depressible, and tender to deep palpation in the left hemiabdomen. A palpable, hard, mobile mass was noted in the left hypochondrium without signs of peritoneal irritation. Hospital admission was decided for further studies. The patient provided a pathology report from a colonoscopy biopsy: "Distal ileum biopsies. Benign nodular lymphoid hyperplasia with focal villous atrophy and moderate chronic ileitis; ascending colon with polypectomy of a tubular adenoma with low-grade dysplasia." Contrast-enhanced abdominal and pelvic CT scan revealed retroperitoneal and mesenteric adenopathy suggestive of infiltrative neoplastic disease, along with thickening of the walls of the right colon. Based on these findings, inpatient management was deemed necessary. Additional laboratory tests documented elevated CA125, fibrinogen, and coagulation times. The infectious profile was negative, and results for folic acid, ESR, reticulocyte percentage, total proteins, and tumor lysis laboratory values were within normal ranges. Given these findings, an initial suspicion of lymphoproliferative disease with possible extranodal involvement was considered. Hematology was consulted, the initial clinical suspicion was confirmed and further extension studies were recommended, including:

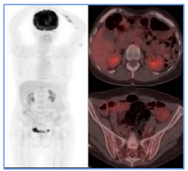
  • July 22, 2021, PET-CT (F18-FDG): Supra- and infra-diaphragmatic hypermetabolic lymphadenopathies, suggesting glycolytic tumor activity; consideration of lymphoproliferative disease, diffuse thickening of the right ascending colon wall, and diffuse FDG uptake in the axial skeleton (Figure 1).

  • July 29, 2021, Flow Cytometry on Bone Marrow: No cell populations were identified that expressed immunophenotypes associated with hematologic neoplasms.

  • February 2022, Cytogenetics on Bone Marrow:

    • Sample Results: 46, XX

    • Interpretation: No neoplastic clones were detected. This result does not exclude a hematologic neoplasm.

    • Observation: Occasional chromosomal breaks were noted. A metaphase 92, XXXX, -4, +6, -8, -11, +16, +17, -19, -19, +22 was observed. No translocations were described.

    • Cell Notes: Estimated resolution of banding: 475.

BONE MARROW BIOPSY

Pathology Report (September 4, 2021):

  • Macroscopic Description: A paraffin block labeled as BR-1877-21 was received.

  • Microscopic Description: The sections show a bone marrow core with an approximate cellularity of 40%, with megakaryocytes present and evidence of maturation across all cell lines. No blasts are observed, and there is no abnormal presence of lymphoid or plasmacytic populations, which is confirmed by immunoperoxidase markers for CD34, CD20, CD3, and CD38.

• Diagnosis: Normal hematopoiesis of the three cell lines. Irnmunohistochemistry Report (September 7, 2021):

• Macroscopic Description: Tissue embedded in paraffin, labeled #1453-21 A1, was received for study via immunohistochemistry.

• Microscopic Description: The problematic population is positive for CD45, VIMENTIN, S100, and CD20. It is negative for PANCYTOKERATIN and HMB45. These findings suggest a lymph node pathology compatible with interdigitating dendritic cell sarcoma of cervical lymph nodes. The case was reviewed in a pathology board, requiring an expanded marker panel to exclude other differential diagnoses. Metastases of epithelial and melanocytic origin were excluded.

• Conclusion: Block #1453-21 A1; Immunohistochemistry: Compatible with INTERDIGITATING DENDRITIC CELL SARCOMA (IDCS).

With these findings and the relevant clinical analysis, the diagnosis of IDCS was considered at the time, and treatment was initiated. The patient underwent 6 sessions of R-CHOP chemotherapy. Flow cytometry in the bone marrow showed aberrant plasma cells at 0.11%, and a PET-CT (F18-FDG), when compared to the initial study, reported resolution of supra- and infra-diaphragmatic adenopathy (See Figure 1). The scan also showed an iliac internal chain adenopathy with FDG uptake, surpassing liver uptake, which, based on Deauville criteria, scored a 4, thus indicating a partial response to treatment.

Figure 1

Initial PET CT. Hypermetabolic supra (yellow arrow) and infra diaphragmatic (blue arrow) adenopathy suggest tumor glycolytic activity. Diffuse mural thickening of the hypermetabolic ascending colon (green arrow) in the clinical context of suspected lymphoproliferative disease suggests extranodal involvement.

2661-6653-onco-34-03-102-gf1.png

Fuente: Organización Clínica Bonnadona Prevenir, Barranquilla, Atlántico

As a result, the treating hematologist recommended a second-line chemotherapy regimen (RICE) for 3 cycles. At the end of these sessions, a follow-up PET scan revealed the resolution of adenopathy in the obturator chain (Figure 3), demonstrating a complete metabolic response. Based on these findings, the patient was declared in remission. Given the favorable evolution, maintenance immunotherapy was initiated with a standard-dose Rituximab regimen for low-grade lymphoma, administered every 2 months for 2 years. As for the writing of this report, the patient has successfully completed 9 cycles and remains in remission.

Figure 2

PET CT before ICE regimen. Only the right internal iliac chain adenopathy was evident (green arrow), which showed FDG uptake, exceeding hepatic uptake about score 4 of the Deauville criteria, suggesting a partial metabolic response to the medical treatment instituted.

2661-6653-onco-34-03-102-gf2.png

Fuente: Organización Clínica Bonnadona Prevenir, Barranquilla, Atlántico

Figure 3

PET CT scan following the rescue scheme. It presents the resolution of adenopathy in the proper internal iliac chain, which is related to morphological and metabolic responses to medical treatment.

2661-6653-onco-34-03-102-gf3.png

Fuente: Organización Clínica Bonnadona Prevenir, Barranquilla, Atlántico

3. Discussion

Dendritic cells are essential in the immune response, acting as a bridge between the innate and adaptive immune systems [1]. These cells are classified into follicular, Langerhans, fibroblastic, and interdigitating types [4]. They are typically found in lymph nodes, the spleen, tonsils, and mucosa-associated lymphoid tissues (MALT) [2]. Dendritic cells originate in the bone marrow or through migration from Langerhans cells [4].

Dendritic cell neoplasms (DCNs) are rare, representing less than 1% of lymphoid-origin tumors [1,6]. DCNs are classified into two main types: stromal dendritic cell neoplasms and myeloid-origin neoplasms, the latter being the focus of this clinical case [5]. Literature reports describe only about 100-127 cases, predominantly in men over 60 years of age, with high metastasis rates (39%) and an average survival of one year in advanced stages [2,3,4,5].

Interdigitating dendritic cell sarcoma (IDCS) typically presents as a painless lymphadenopathy, most commonly in the cervical region, but it has also been described in the axillary, mediastinal, abdominal, and inguinal regions [5]. The most frequent localization site is the lymph nodes, with a prevalence of 47%, and 25% of patients present extranodal involvement. Depending on the affected site, systemic symptoms may be present [2].

The diagnosis of IDCS is complex and requires pathology studies and immunohistochemistry. Due to its low prevalence, there are no established treatment guidelines. Treatment options include surgery, radiotherapy, and chemotherapy, depending on the disease stage [2].

The pathogenesis of IDCS has not been linked to a specific trigger. However, there have been reports of cases in patients who previously received treatments with Tacrolimus, suggesting a T-cell malignancy following its dysregulation, facilitating the development of this type of neoplasm [4]. Histologically, tumor cells are spindle-shaped or histiocytic, with irregular borders, eosinophilic cytoplasm, and enlarged nuclei. They resemble Langerhans cells microscopically but lack Birbeck granules and do not express CD1a or langerin [5].

Immunohistochemical studies typically express markers such as S-100, vimentin, HLA-DR, and CD68. Differential diagnoses include follicular dendritic cell sarcoma, indeterminate dendritic cell tumor, Langerhans cell sarcoma, anaplastic large cell lymphoma, and histiocytic sarcoma. One of the most challenging presentations to differentiate is follicular dendritic cell sarcoma, as both are hematologic neoplasms derived from similar precursors, sharing morphological and clinical features. However, immunohistochemistry can help differentiate these entities. Follicular dendritic cell sarcoma expresses CD21, CD23, and CD35, unlike IDCS. Furthermore, IDCS can mimic non-hematologic neoplasms, such as sarcomas, carcinomas, or melanomas. Metastatic melanoma, for instance, may be confused with IDCS due to expression of S-100 and CD68, but it expresses its own distinct immunohistochemical markers [4].

For staging, PET-CT (F18-FDG) is a crucial tool. Initially, it allowed for documentation of both nodal and extranodal involvement, establishing tumor viability and aiding in follow-up and evaluation of treatment response. The Deauville 5-point visual scale [7] was used to assess treatment response. In this case, the PET-CT documented persistent disease (Deauville 4), which influenced treatment decisions and led to escalation of the medical management. A subsequent PET-CT (F18-FDG) performed after rescue therapy demonstrated a complete metabolic response at the end of treatment [8].

There are no defined treatment guidelines for IDCS due to its low prevalence and unclear etiopathogenesis. For localized disease in early stages, surgery and/or targeted radiotherapy may be considered, although no significant survival differences have been found between surgical and conservative management [5]. In cases with metastatic disease, chemotherapy is usually preferred due to its systemic reach. Chemotherapy regimens used are typically those directed at non-Hodgkin lymphoma, though no regimen has been proven superior to others [4].

IDCS prognosis is directly related to the stage at diagnosis. Survival rates are lower in metastatic stages at the time of treatment initiation [3].

In the case presented here, the patient showed a favorable response to chemotherapy, achieving complete remission and surviving for two years to date. Lymph node and extranodal involvement, along with immunohistochemical findings, enabled the diagnosis and timely treatment initiation (Figure 1). The partial metabolic response observed in the post-treatment PET (Figure 2) led to the decision to escalate the treatment to second-line RICE chemotherapy. Eventually, a new PET-CT (F18-FDG) post-treatment (Figure 3) confirmed a complete metabolic response.

4. Conclusion

Although IDCS is a very rare pathology due to its similarity to other hematological neoplasms, it should be considered as a differential diagnosis by exclusion, particularly when patients present with lymphadenopathy. It has been reported that 19.7% of cases occur in patients with a previous second malignancy, and in other cases, as a consequence of certain chemotherapy treatments for breast cancer or immunosuppressive therapies. However, due to the limited number of disease reports and the scarce information available, it is not currently possible to determine a clear etiology that explains its origin [4].

It is important to emphasize the critical role of studies such as histopathology and immunohistochemistry, which enable distinguishing among differential diagnoses. This is essential for the timely initiation of treatment, given the poor prognosis of the disease in advanced stages.

6.2. Acknowledgements and Authors' contributions

Rodriguez Orozco and Mojica Silva contributed to analyzing and interpreting the studies presented in this paper. Their knowledge and experience were essential for rigorous data analysis and for obtaining significant conclusions from the manuscript.

The other authors made a substantial contribution to the conception, design of the study, collection, analysis, or interpretation of the data; have participated in the writing of the article or the critical revision of its intellectual content; have approved the final version of the manuscript; and can respond to all aspects of the manuscript in order to ensure that questions related to the veracity or integrity of all its contents have been adequately investigated and resolved.

References

1. Campo E, Swerdlow SH, Harris NL, Jaffe ES, Pileri SA, Stein H, et al. WHO Classification of Tumours of Haematopoietic and Lymphoid Tissues (Medicine) Revised Edition. In: Swerdlow SH, Campo E, Harris NL, Jaffe ES, Pileri SA, Stein H, et al., editors. WHO Classification of Tumours of Haematopoietic and Lymphoid Tissues. 4th ed. IARCPRESS; 2017. p. 469.

E Campo SH Swerdlow NL Harris ES Jaffe SA Pileri H Stein WHO Classification of Tumours of Haematopoietic and Lymphoid Tissues (Medicine) Revised Edition SH Swerdlow E Campo NL Harris ES Jaffe SA Pileri H Stein WHO Classification of Tumours of Haematopoietic and Lymphoid Tissues4IARCPRESS2017469469

2. Santarelli IM, Veltri M, Manzella DJ, Avagnina MA, Pereyra PM, Chavín HC. SARCOMA DISEMINADO DE CÉLULAS DENDRÍTICAS INTERDIGITANTES. CASUÍSTICA MEDICINA. 2017;77:239-41.

IM Santarelli M Veltri DJ Manzella MA Avagnina PM Pereyra HC Chavín SARCOMA DISEMINADO DE CÉLULAS DENDRÍTICAS INTERDIGITANTES. CASUÍSTICA MEDICINA201777239241

3. Martín-Hernández R, Martínez-Subías JJ, del Rey-Tomás Biosca FJ, Tejero-Cavero M. SARCOMA DE CÉLULAS DENDRÍTICAS INTERDIGITANTES [Internet]. 2019. Available at: www.gaesmedica.com/es-es/

R Martín-Hernández JJ Martínez-Subías FJ del Rey-Tomás Biosca M Tejero-Cavero SARCOMA DE CÉLULAS DENDRÍTICAS INTERDIGITANTES [Internet]2019www.gaesmedica.com/es-es/

4. Lakshmanan A, Kurian A, Annapurneswari S. Interdigitating dendritic cell sarcoma involving head and neck region- a report of four cases with review of literature. Human Pathology: Case Reports. 2021 Jun;24. https://doi.org/10.1016/j.ehpc.2021.200514

A Lakshmanan A Kurian S Annapurneswari Interdigitating dendritic cell sarcoma involving head and neck region- a report of four cases with review of literature. Human Pathology: Case Reports062021https://doi.org/10.1016/j.ehpc.2021.200514

5. Pokuri VK, Merzianu M, Gandhi S, Baqai J, Loree TR, Bhat S. Molecular Insights in Patient Care Interdigitating Dendritic Cell Sarcoma NCCN: Continuing Education Accreditation Statement. JNCCN-Journal of the National Comprehensive Cancer Network. 2015 Feb; 13:128-32. https://doi.org/10.6004/jnccn.2015.0020

VK Pokuri M Merzianu S Gandhi J Baqai TR Loree S Bhat Molecular Insights in Patient Care Interdigitating Dendritic Cell Sarcoma NCCN: Continuing Education Accreditation StatementJNCCN-Journal of the National Comprehensive Cancer Network02201513128132https://doi.org/10.6004/jnccn.2015.0020

6. Rosales J, Arrieta E, Ahumada F, Guillermo Restrepo J, Domínguez Durán A, Castaño S, et al. Sarcoma de células dendríticas interdigitantes como segunda neoplasia metacrónica luego de un carcinoma ductal infiltrante de mama: reporte de caso. Revista Colombiana de Hematología y Oncología. 2021;8(Supl1). https://doi.org/10.51643/22562915.416

J Rosales E Arrieta F Ahumada J Guillermo Restrepo A Domínguez Durán S Castaño Sarcoma de células dendríticas interdigitantes como segunda neoplasia metacrónica luego de un carcinoma ductal infiltrante de mama: reporte de casoRevista Colombiana de Hematología y Oncología202181https://doi.org/10.51643/22562915.416

7. Awan U e kalsoom, Siddiqui N, SaadUllah M, Bashir H, Farooqui ZS, Muzaffar N, et al. FDG-PET scan in assessing lymphomas and the application of Deauville Criteria. J Pak Med Assoc. 2013 Jun;63(6):725-30.

U Awan Siddiqui N kalsoom M SaadUllah H Bashir ZS Farooqui N Muzaffar FDG-PET scan in assessing lymphomas and the application of Deauville CriteriaJ Pak Med Assoc062013636725730

8. Younes A, Hilden P, Coiffier B, Hagenbeek A, Salles G, Wilson W, et al. International Working Group consensus response evaluation criteria in lymphoma (RECIL 2017). Annals of oncology: official journal of the European Society for Medical Oncology. 2017 Jul 1;28(7):1436-47. https://doi.org/10.1093/annonc/mdx097

A Younes P Hilden B Coiffier A Hagenbeek G Salles W Wilson International Working Group consensus response evaluation criteria in lymphoma (RECIL 2017). Annals of oncology: official journal of the European Society for Medical Oncology07201728714361447https://doi.org/10.1093/annonc/mdx097

How to cite: Rodriguez Orozco J, Mojica Silva L, Hernandez Lastra A, Martinez Guerrero G, Mora Guerrero D & Alvarez Romero J. Sarcoma of interdigitating dendritic cells. Case report. Oncología (Ecuador). 2024;34(3): 102-108. https://doi.org/10.33821/755

5. Abbreviations

TAC: Computed Axial Tomography

PET-CT (F18-FDG): Acronym in English: Positron Emission Tomography - Computed Tomography (Fluorodeoxyglucose 18 - FluoroDeoxyGlucose). In Spanish: Positron Emission Tomography -Computed Tomography (Fluorodeoxyglucose 18-Fluorodeoxyglucose)

ESR: Erythrocyte Sedimentation Volume

CA-125: Carcinoma Antigen 125. (Cancer Antigen 125)

R-CHOP: Rituximab - Cyclophosphamide, Hydroxy-Daunorubicin or Doxorubicin, Oncovin brand name for Vincristine and Prednisone

MALT: Mucosa Associated Lymphoid Tissue

CD: Cluster of Differentiation

HLA: Human Leukocyte Antigen

HMB: Human Melanoma Black

6. Administrative information

6.1 Additionalfiles None declared by the authors.

6.3 Limitation of Liability The authors assume full responsibility for the opinions and conclusions presented in this article.

6.4. Financing The authors did not receive any financial recognition for this work.

6.5. Statements

6.5.1. Declaration Authors assume full responsibility for the opinions and conclusions presented in this article. The journal is not responsible for any errors or omissions, nor for the interpretations or applications derived from the information contained herein.

6.5.2. Consent for publication The patient gave written informed Consent for this report.


Sarcoma de células dendríticas interdigitantes. Reporte de caso

0009-0005-1909-6836Rodriguez OrozcoJose10009-0000-4934-411XMojica SilvaLuis20009-0008-8136-9980Hernandez LastraAngel10009-0004-2087-313XMartinez GuerreroGillian3*0000-0001-5561-3769Mora GuerreroDaniela40009-0006-3848-9579Alvarez RomeroJesus4

RESUMEN

Las células dendríticas, fundamentales en la respuesta inmune al presentar antígenos a los linfocitos T y B, pueden desarrollar neoplasias extremadamente raras, que representan menos del 1 % de los tumores de origen ganglionar. A continuación, se presenta un caso de sarcoma de células dendríticas interdigitantes que al ser tratado con quimioterapia mostró una evolución favorable y un buen pronóstico. Debido a la rareza de esta enfermedad, es crucial considerarla en el diagnóstico diferencial, pues la supervivencia del paciente depende del estadio en el que se detecte.



1. Introducción

El sarcoma de células dendríticas interdigitantes (SCDI) es una neoplasia hematológica rara y de diagnóstico complejo, a menudo confundido con otros tipos de neoplasias, lo que conlleva un diagnóstico tardío y un pronóstico desfavorable para el paciente. En este reporte, se presenta el caso de una paciente cerca de su séptima década, en un inicio con sospecha de tumor de colon, pero mediante estudios histopatológicos se determinó que cursaba una neoplasia linfoide compatible con la enfermedad del presente caso. Se describe el proceso diagnóstico, el manejo oncológico, la respuesta al tratamiento y la situación actual; también se hace una breve revisión del tema que permitirá a los lectores comprender las decisiones médicas adoptadas.

2. Caso clínico

Mujer de 68 años con antecedentes de hipertensión arterial y tumor de colon en estudio, tratamiento farmacológico con losartán y complejo B, intervenciones quirúrgicas: tres cesáreas, trauma: fractura de codo derecho con manejo protésico. Hábito de extabaquista. Esta paciente acude al servicio de urgencias por presentar cuadro de dos meses de evolución de dolor abdominal progresivo, asociado a astenia, adinamia y palidez. En el examen físico de ingreso no presentó distensión abdominal, peristalsis positiva, blanda, depresible, con dolor a la palpación profunda en hemiabdomen izquierdo. Se palpa masa en hipocondrio ipsilateral, dura, móvil. Sin signos de irritación peritoneal. Se decide ingresar para estudios adicionales. Presenta reporte de patología de biopsia de colonoscopia:

Muestra de íleon distal biopsias N.o 4507-21: Hiperplasia nodular linfoide benigna con atrofia focal de vellosidades, ileítis crónica moderada, colon ascendente con polipectomía adenoma tubular con displasia de bajo grado.

TAC abdominopélvico contrastado: "adenomegalias retroperitoneales y mesentéricas relacionadas a enfermedad neoplásica infiltrante, además de engrosamiento de las paredes del colon derecho". Por dichos hallazgos se considera manejo intrahospitalario. Se documentó elevación del CA125 46,3 u/ ml, fibrinógeno y tiempos de coagulación, perfil infeccioso negativo, ácido fólico, VSG, porcentaje de reticulocitos, proteínas totales y laboratorios de lisis tumoral normales. Dados sus hallazgos, inicialmente se sospechó de enfermedad linfoproliferativa, lo que sugería compromiso extranodal. Se interconsulta a hematología; se reafirma diagnóstico y se amplía con estudios de extensión, entre ellos:

Julio 22 del 2021 PET-CT(F18-FDG): Adenopatías supra e infra diafragmáticas hipermetabólicas, sugieren actividad glicolítica tumoral, considerar enfermedad linfoproliferativa, engrosamiento mural difuso del colon ascendente hipermetabólico y captación difusa a la FDG en el esqueleto axial (Figura 1).

Julio 29 del 2021 citometría de flujo en médula ósea: No se identificaron poblaciones celulares que expresen inmunofenotipo vinculable con neoplasia hematológica. Inmunohistoquímica de la biopsia N.o 1635-2021 de ganglios hallazgos compatibles con sarcoma de células dendríticas interdigitantes reticulares de ganglios cervicales.

Febrero del 2022 citogenético en médula ósea:

• Resultados de la muestra: 46, XX

• Interpretación: No se detectaron clones neoplásicos. Este resultado no descarta neoplasia hematológica.

• Observación: Ocasionales rupturas cromosómicas. Se observó una metafase 92,XXXX, -4, +6, -8, -11, +16, +17, -19, -19, +22. No se describen traslocaciones.

• Notas de célula: Resolución estimada de bandeamiento: 475.

Biopsia de médula ósea:

Reporte de anatomía patológica (04 de septiembre del 2021)

• Descripción macroscópica: Se recibe un bloque de parafina rotulado como BR-1877-21.

• Descripción microscópica: Los cortes muestran cilindro de médula ósea con una celularidad aproximada del 40 %, megacariocitos presentes con evidencia de todas las líneas celulares de maduración. No se reconoce blastos ni hay presencia anormal de población linfoide o plasmática lo cual se corrobora con marcadores por inmunoperoxidasas para CD34, CD20, CD3 y CD38.

• Diagnóstico: Hematopoyesis de las tres líneas.

Reporte de inmunohistoquímica (07 de septiembre del 2021)

• Descripción macroscópica: Se recibe tejido incluido en parafina rotulado #1453-21 A1, para estudio mediante técnica de inmunohistoquímica.

• Descripción microscópica: La población problema es positiva para CD45, VIMENTINA, S100 y CD20. Negativa para PANCITOQUERATINA, HMB45. Lo anterior plantea patología del ganglio linfático de tipo sarcoma de células dendríticas interdigitantes reticulares. Caso visto en junta de patología, requiere ampliación del panel de marcadores para excluir otros diferenciales. Se excluyeron metástasis de estirpe epitelial y melanocítica.

• Conclusión: Bloque #1453-21 A1; inmunohistoquímica. Compatible con sarcoma de células dendríticas interdigitantes reticulares.

Con dichos hallazgos y el análisis clínico pertinente, se consideró en su momento que la paciente cursaba con SCDI, y posterior a esto se indicó su manejo. Por tal motivo, se ordenaron seis sesiones de poliquimioterapia R-CHOP. Eventualmente se realizó citometría de flujo en médula ósea: células plasmáticas aberrantes del 0,11 %, y un PET-CT (F18-FDG), que, en comparación con el estudio inicial, reportó resolución de las adenopatías supra e infradiafragmáticas (ver Figura 1).

Figura 1

Initial PET CT. Hypermetabolic supra (yellow arrow) and infra diaphragmatic (blue arrow) adenopathy suggest tumor glycolytic activity. Diffuse mural thickening of the hypermetabolic ascending colon (green arrow) in the clinical context of suspected lymphoproliferative disease suggests extranodal involvement.

2661-6653-onco-34-03-102-gf4.png

Fuente: Organización Clínica Bonnadona Prevenir, Barranquilla, Atlántico

En este reporte era evidente la adenopatía en cadena ilíaca interna derecha, que mostraba captación a la FDG, y superaba la captación hepática, la cual en relación con los criterios de Deauville correspondía a un puntaje de 4, lo que indica una respuesta parcial al tratamiento [1]. Por lo tanto, el hematólogo tratante indicó manejo de rescate con esquema de quimioterapia de segunda línea: ICE por 3 ciclos. Al finalizar estas sesiones, se realizó un nuevo PET que reportó resolución de adenopatía en cadena obturatriz (Figura 3). Se evidenció una respuesta metabólica completa, y con estos hallazgos se declara al paciente en estado de remisión de su enfermedad. Hematología, ante su adecuada evolución, instaura inmunoterapia de mantenimiento con rituximab a dosis estándar cada dos meses por dos años. Al momento de realizar este documento, la paciente ha cursado nueve ciclos de manera exitosa y continúa en remisión de su enfermedad.

Figura 2

Tomografía computarizada por emisión de positrones (PET) antes del régimen de ECI. Solo se evidenció la adenopatía de la cadena ilíaca interna derecha (flecha verde), la cual mostró captación de FDG, superior a la captación hepática alrededor del puntaje 4 de los criterios de Deauville, sugiriendo una respuesta metabólica parcial al tratamiento médico instaurado.

2661-6653-onco-34-03-102-gf5.png

Fuente: Organización Clínica Bonnadona Prevenir, Barranquilla, Atlántico

Figura 3

PTomografía computarizada PET siguiendo el esquema de rescate. Se presenta la resolución de la adenopatía en la cadena ilíaca interna propia, la cual se relaciona con las respuestas morfológicas y metabólicas al tratamiento médico.

2661-6653-onco-34-03-102-gf6.png

Fuente: Organización Clínica Bonnadona Prevenir, Barranquilla, Atlántico

3. Discusión

Las células dendríticas son esenciales en la respuesta inmune; actúan como un puente entre los sistemas inmune innato y adaptativo [2]. Estas se clasifican en foliculares, de Langerhans, fibroblásticas e interdigitantes [3]. Se puede encontrar dichas células ubicadas en ganglios linfáticos, en el bazo, en las amígdalas y en tejidos linfoides asociados a mucosas (MALT) [4]. Se originan en la médula ósea o en la migración de células de Langerhans [3].

Las neoplasias de células dendríticas (NCD) son raras, estas representan menos del 1 % de los tumores ganglionares [2,5]. Las NCD se clasifican en dos tipos principales: neoplasias dendríticas estromales y de origen mieloide; esta última es el foco de este caso clínico [6]. En la literatura solo se han descrito al menos entre 100-127 casos, sobre todo en hombres mayores de 60 años, asiáticos y caucásicos, con alta tasa de metástasis (39 %) y una supervivencia promedio de un año en estadios avanzados [3,4,6,7].

El SCDI suele presentarse inicialmente como una adenopatía indolora, localizada por lo general en la región cervical; también se han descrito en región axilar, mediastinal, abdominal e inguinal [5]. El sitio de localización más frecuente son los ganglios linfáticos con una prevalencia de 47 %, y un 25 % de los paciente presenta compromiso extraganglionar, en el que, por su localización, se podrían presentar síntomas sistémicos, según el lugar afectado [4].

El diagnóstico es complejo y requiere estudios de patología e inmunohistoquímica. Su tratamiento no sigue guías definidas debido a su baja prevalencia. Las opciones incluyen cirugía, radioterapia y quimioterapia, según el estadio de la enfermedad [4].

El SCDI no ha sido relacionado a un factor desencadenante específico; sin embargo, se han reportado casos de esta patología en pacientes que recibieron tratamientos previos con tacrolimus. Esto sugiere una malignización de los linfocitos T tras su desregulación, y facilita el desarrollo de este tipo de neoplasia [3]. En cuanto a su parte histopatológica, son células fusiformes o histiocitoides con bordes irregulares, eosinofílicas con núcleos agrandados. Se parecen a las células de Langerhans microscópicamente, pero sin gránulos de Birbeck. Así como tampoco expresan CD1a y langergina [6].

Los estudios de inmunohistoquímica usualmente expresan moléculas como el S-100, vimentina, HLA-DR y CD68. Dentro de los diagnósticos diferenciales se encuentra el sarcoma de células dendríticas foliculares, tumor de células dendríticas indeterminadas, sarcoma de células de Langerhans, linfoma anaplásico de células grandes y el sarcoma histiocítico. Entre los más difíciles de diferenciar se encuentra el sarcoma de células dendríticas foliculares, ya que, al ser una neoplasia hematológica proveniente de un precursor similar, comparten características morfológicas y clínicas que dificultan el diagnóstico. Sin embargo, la inmunohistoquímica ayuda a determinarlo, pues el sarcoma de células foliculares expresa CD21, CD23 y CD35, a diferencia del SCDI. El SCDI tiene la capacidad de imitar neoplasias no hematológicas, como algunos sarcomas, carcinomas o melanomas [3]. El melanoma metastásico es confundido con esta enfermedad, al expresar S-100 y CD68 [6]; aunque expresa sus propios marcadores inmunohistoquímicos que lo diferencian [3].

Para la estadificación, se utilizó como herramienta el PET-CT (F18-FDG), que juega un papel importante, ya que en primera instancia permitió documentar el compromiso tanto ganglionar como extranodal y establecer viabilidad tumoral; además, facilitó el seguimiento imagenológico y la evaluación de respuesta al tratamiento médico, mediante la escala visual análoga Deauville de 5 puntos [1]. Para este caso, el PET CT documentó enfermedad persistente (Deauville 4), y contribuyó a la toma de decisiones que incluyeron el escalonamiento del manejo médico instaurado. Para un segundo momento, un nuevo PET-CT (F18-FDG) realizado después del manejo de rescate documentó que la paciente tuvo una respuesta metabólica completa al final del tratamiento [8].

Para el tratamiento no existen guías definidas, dada su baja prevalencia y su etiopatogenia no clara. En estadios iniciales localizados, se puede optar por cirugía o radioterapia dirigida, a pesar de que no se han descrito diferencias significativas en la sobrevida de los pacientes sometidos a manejo quirúrgico en comparación con el manejo conservador [6]. En los casos en que la enfermedad se encuentra metastásica, suele preferirse la quimioterapia por su alcance sistémico. Se utilizan esquemas dirigidos a enfermedades como el linfoma No-hodgkin; aunque, a pesar de los distintos esquemas propuestos, no hay una superioridad descrita de uno sobre los demás [3].

El pronóstico de la enfermedad es directamente proporcional a su avance al momento del diagnóstico. Su supervivencia es menor en estadios metastásicos al inicio del tratamiento [7].

En este caso, la paciente presentó una respuesta favorable al tratamiento quimioterapéutico, logró una remisión completa y una supervivencia de dos años hasta la fecha. El compromiso ganglionar y extranodal y los hallazgos de inmunohistoquímica permitieron diagnosticar la enfermedad y realizar tratamiento médico oportuno (Figura 1). Se obtuvo una respuesta metabólica parcial, documentada en el PET posterior al manejo inicial (Figura 2), por lo que se decidió escalar al esquema ICE de rescate de segunda línea. Se realizó un nuevo PET CT (F18-FDG) postratamiento (Figura 3), que permitió establecer respuesta metabólica completa.

4. Conclusión

A pesar de ser una patología muy rara, dada su similitud con otras neoplasias hematológicas, debe ser tomada en consideración como diagnóstico diferencial por exclusión; sobre todo cuando presentan adenopatías. Se ha descrito que un 19,7 % de los casos se encuentran cursando una segunda neoplasia previa a este sarcoma y en otros casos como consecuencia de ciertos tratamientos de quimioterapia para cáncer de mama o inmunosupresores, pero que, de momento, al ser escasos los reportes de la enfermedad y la información sobre esta, no es posible determinar una etiología clara que explique su origen [4].

Cabe destacar la importante realización de estudios tales como la histopatología e inmunohistoquímica, pues permiten discernir entre los diagnósticos diferenciales, y así iniciar un tratamiento oportuno, dado el mal pronóstico de la enfermedad en casos avanzados.